Case Studies
Sagittal Plane Deformity
“The Bedrock technique has provided me an effective solution to manage my deformity patients with concomitant SI joint pain.”
Robert Eastlack, MD
- Provider
- Robert Eastlack, MD*
- Speciality
- Orthopedic Surgeon
- Facility
- Mayo Clinic
- Bio
-
Professor and Head, Division of Spine Surgery Co-Director, Spine Surgery Fellowship
Fellowship: Mayo Clinic, Roche... More
Case Details
- Condition
- Spinopelvic Fixation
- Product(s)
-
iFuse Bedrock
- Patient
- 77 y/o male
Sagittal Plane Deformity
Patient History:
- 77 y/o male physician with chronic LBP > leg pain
- Difficulty standing/walking, fatigues quickly
- Forward posture
- Positive thigh trust, FABER, Gaenslen’s
- Failed non-surgical management
- LLIF/open PSF L4-5 > 10 years prior
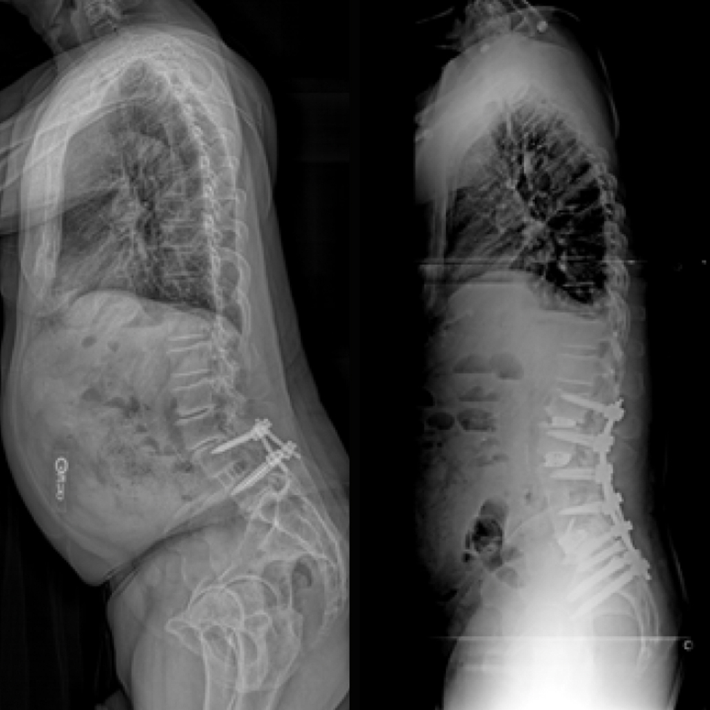
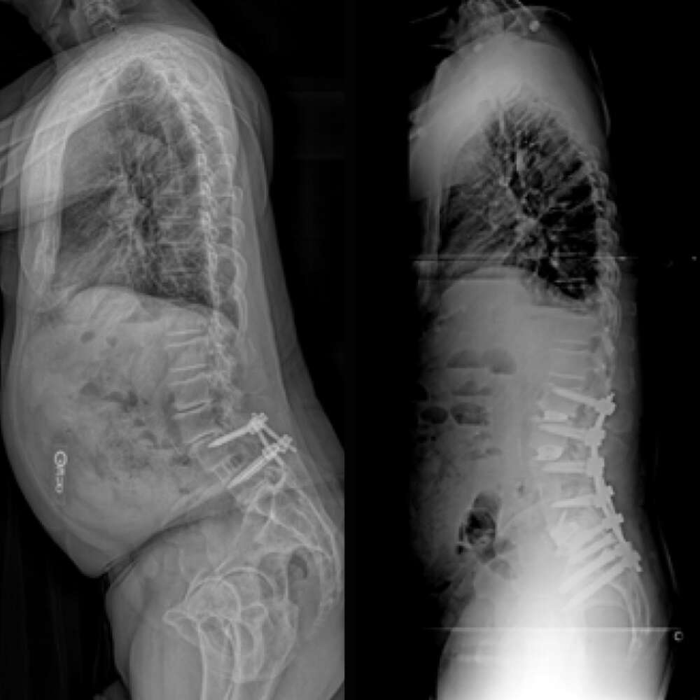
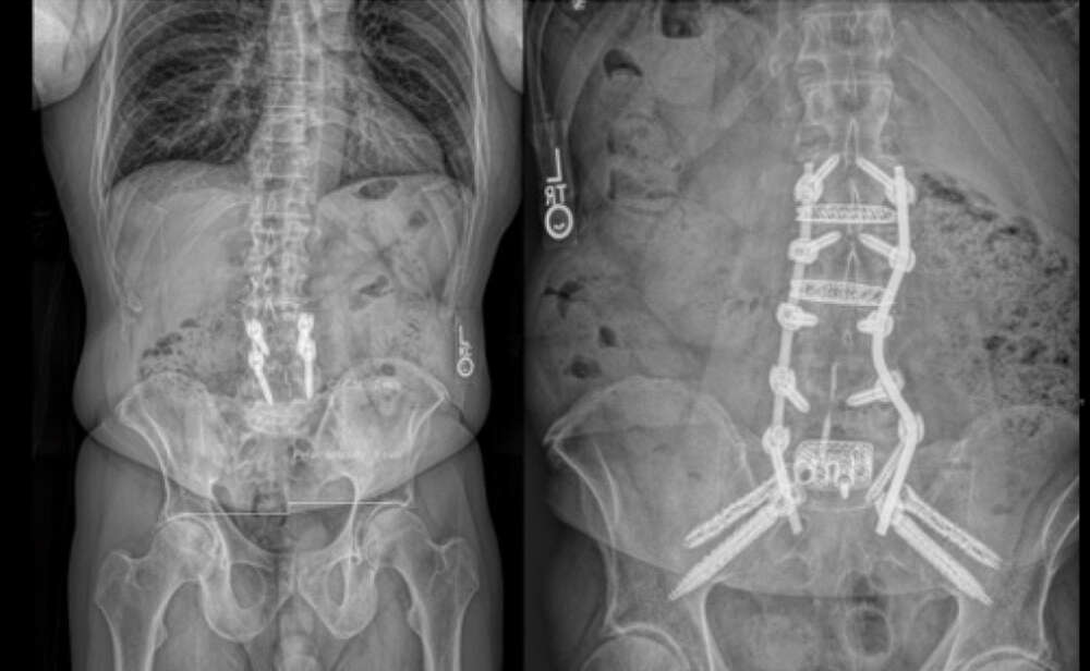
Surgical Treatment:
- ALIF L5-S1 with LLIF L2-4 in single lateral position
- L2-pelvis fusion with MIS S2AI iFuse Bedrock Granite™ and iFuse TORQ™ for bilateral SAI spinopelvic stabilization and SI joint fusion
- *iFuse Bedrock Granite not available outside the US
Post-op:1,2
- Marked pain relief and normalized posture at 6-month post-op
- Walking 4-5 miles
- Anxious to return to pickle ball
1Multilevel deformity constructs have been performed for many years. Reported outcomes reflect entirety of the procedure and cannot be attributed to a single component. This case study represents a single patient’s experience and results may vary.
2Clinical results consistent with early SILVIA (NCT04062630) trial outcomes. SI-BONE data on file.
Healthcare professionals should refer to the Instructions For Use for indications, contraindications, warnings, and precautions at https://ous.si-bone.com/label.
There are potential risks associated with iFuse procedures. They may not be appropriate for all patients and all patients may not benefit.
For information about the risks, visit https://ous.si-bone.com/risks.
Inline eastlack case 2 03
Inline eastlack case 2 04