Case Studies
Sacral Insufficiency Fracture with Bilateral SI Joint Involvement
“Pelvic insufficiency fractures will be one of the great challenges for our generation. Traditional thinking, care pathways, and surgical technology will not be the solution. We need innovation in how we diagnose and treat these injuries, and we need innovative technology in the operating room designed specifically for these patients.”
Brian Cunningham MD
- Provider
- Brian Cunningham, MD*
- Speciality
- Assistant Professor, Department of Orthopaedic Surgery Health Partners Institute, Minneapolis, MN
- Facility
- Health Partners Institute, Minneapolis, MN
- Bio
-
Fellowship: University of California (San Francisco) Medical Center
Residency: Banner Good Samaritan Medical Cente... More
Case Details
- Condition
- Pelvic Trauma
- Product(s)
-
iFuse TORQ TNT
- Patient
- 79 y/o female
Sacral Insufficiency Fracture with Bilateral SI Joint Involvement Treated with iFuse TORQ® and iFuse TORQ TNT®
Patient Case History:
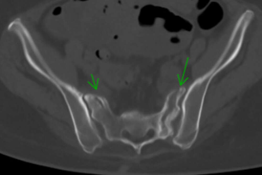
A 79-year-old female with a history of chronic lymphocytic leukemia, hyperlipidemia, hypertension, and severe osteoporosis presented with a worsening of right-sided sacral and pubic rami fractures initially sustained three months prior (Fig. 1).
- Patient reported an acute increase in pain over the past week without any additional trauma.
- Pain was rated 6/10, significantly limiting mobility and ability to bear weight.
- Was previously independent, walking 4-5 miles daily, but now required a walker for ambulation.
- Physical examination revealed pain with lateral compression of the pelvis.
Surgical Procedure:
Sacral fracture fixation and bilateral SI joint fusion was performed.
- A single iFuse TORQ TNT™ implant was placed in the S2 corridor, spanning the sacrum and crossing both SI joints, addressing the left sacral alar nonunion and providing pelvic ring stability (Figs. 2-4).
- Percutaneous placement of bilateral iFuse TORQ® implants was performed sequentially, first at the left S1 and then the right S1, to provide additional sacral fracture fixation and to provide multiple fusion implants across the left and right SI joints.
Healthcare professionals should refer to the Instructions For Use for indications, contraindications, warnings, and precautions at https://ous.si-bone.com/label.
There are potential risks associated with iFuse procedures. They may not be appropriate for all patients and all patients may not benefit.
For information about the risks, visit https://ous.si-bone.com/risks.
Cunningham 1a
Cunningham 1b
Cunningham 1c
Cunningham 1d