Case Studies
Treatment of SI Joint Dysfunction Post Lumbar Fusion
“The iFuse 3D Implant System provided my patient SI joint pain resolution and fusion .”
Daniel Denis, MD, MSc, FRCSC
- Provider
- Daniel Denis, MD, MSc, FRCSC*
- Speciality
- Neurosurgeon
- Facility
- Ochsner Health Center
- Bio
-
Fellowship: University of California Los Angeles, Minimally Invasive Spinal Surgery
Residency: University of Montr... More
Case Details
- Condition
- SI Joint Dysfunction
- Product(s)
-
iFuse 3D
- Patient
- 80 y/o female
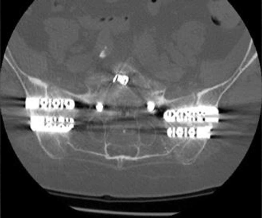
Bilateral Sacroiliac Joint Dysfunction Following L4-S1 Fusion
Patient Case History:
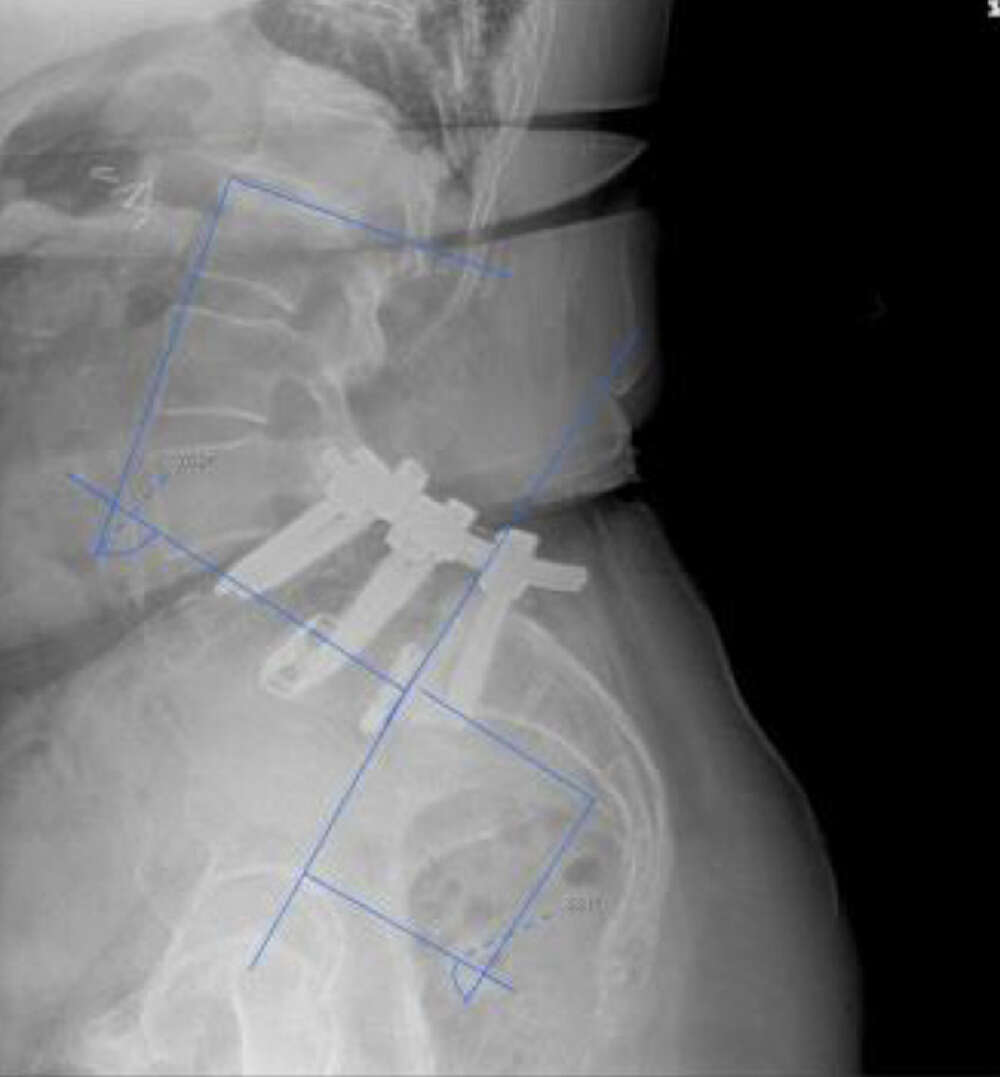
- High lumbar lordosis (77°) & pelvic incidence (86°)
- Spinal stenosis (L4-5) & radiculopathy (L5-S1)
- L4-5 & L5-S1 MIS transforaminal interbody fusion, November 2017
- Revision open L4-S1 fusion for pseudoarthrosis and hardware loosening, March 2019
- Bi-lateral SI joint degeneration with pain post revision surgery verified via SI joint block injection.
Surgical Procedure:
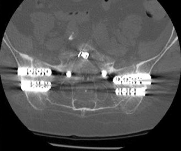
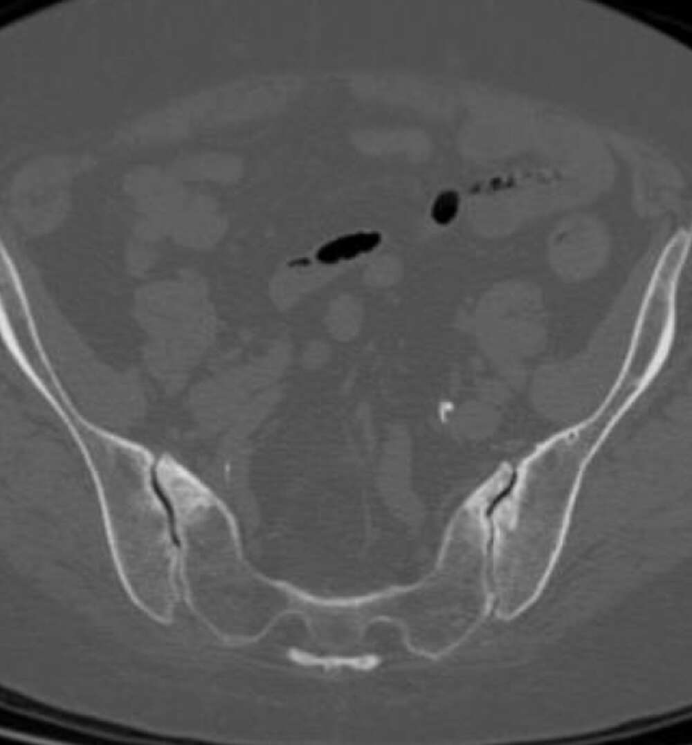
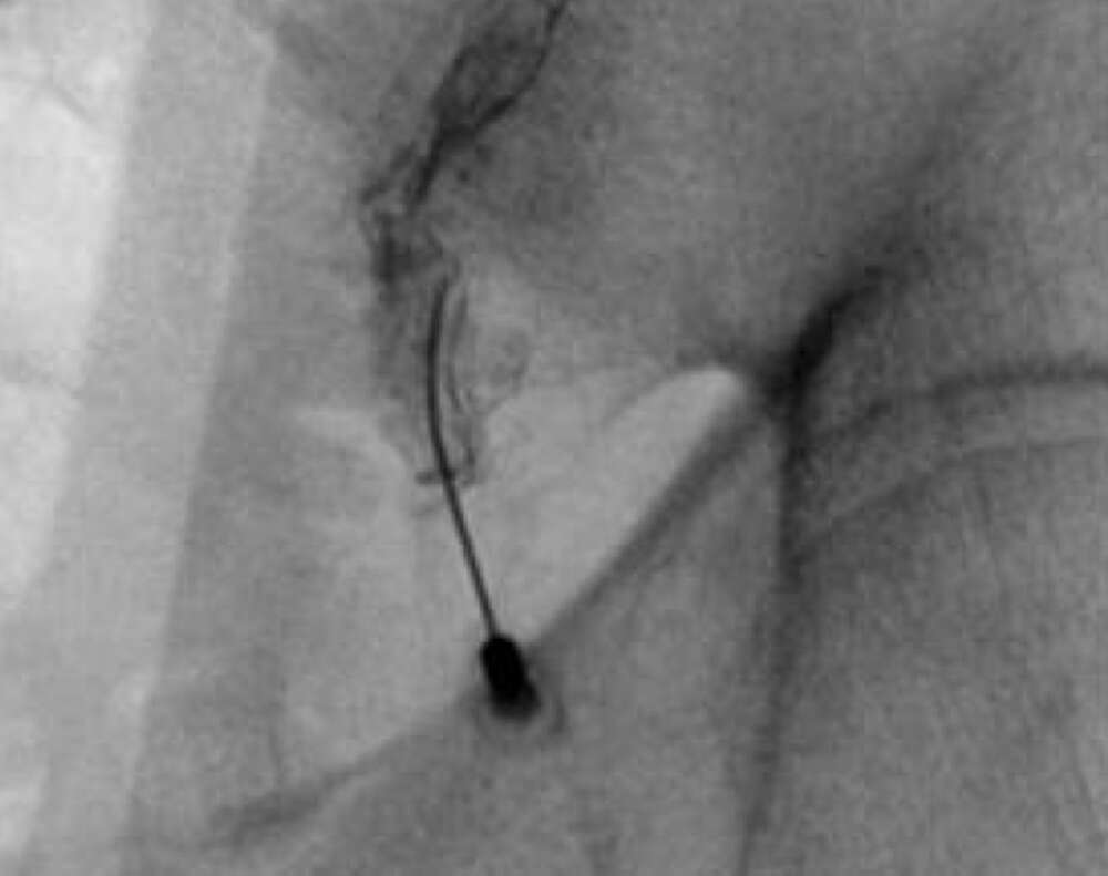
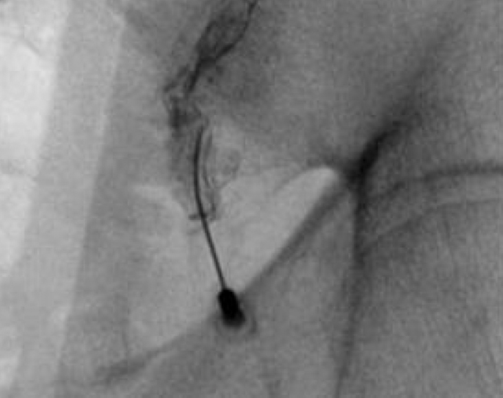
- Bilateral SI joint fusion using the iFuse 3D™ Implant System, August 2020
Post-op:1
- Post-op resolution of bilateral SI joint pain.
- CT of lumbar spine at +2 years post-op shows confirmation of the SI joint fusion.
1Patient results may vary
Healthcare professionals should refer to the Instructions For Use for indications, contraindications, warnings, and precautions at https://ous.si-bone.com/label.
There are potential risks associated with iFuse procedures. They may not be appropriate for all patients and all patients may not benefit.
For information about the risks, visit https://ous.si-bone.com/risks.
Inline dennis 01
Inline dennis 02
Inline dennis 03
Inline dennis 04
Inline dennis 05
Inline dennis 06