Case Studies

Lumbopelvic Instability

“iFuse TORQ facilitates robust fixation, even in the setting of notable osteopenia and instability.”

Malcolm R. DeBaun, MD

Malcolm R. DeBaun, MD

Provider
Malcolm R. DeBaun, MD*
Speciality
Director of Orthopaedic Trauma Duke University
Facility
Duke University Hospital
Bio
Fellowship: Orthopaedic Trauma, Harborview Medical Center, Seattle, WA
Residency: Orthopaedic Surgery, Stanford Un... More

Case Details

Condition
Pelvic Trauma
Product(s)
iFuse TORQ
Patient
76 y/o female

Lumbopelvic Instability after Chronic Sacral U- Fracture

Patient History:
  • Fall 3 months prior
  • Managed non-operatively by outside hospital
  • 10/10 pain; difficulty ambulating x 3 mo
  • MRI done and self-referral to IR for sacroplasty
  • Referred to ortho by IR for pelvic fixation
Inline debaun 01 Inline debaun 01
Inline debaun 01 Inline debaun 01
Inline debaun 02 Inline debaun 02
Inline debaun 02 Inline debaun 02
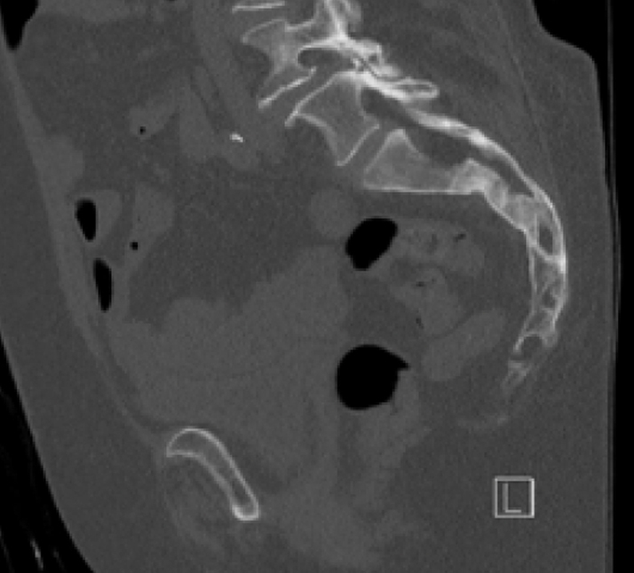
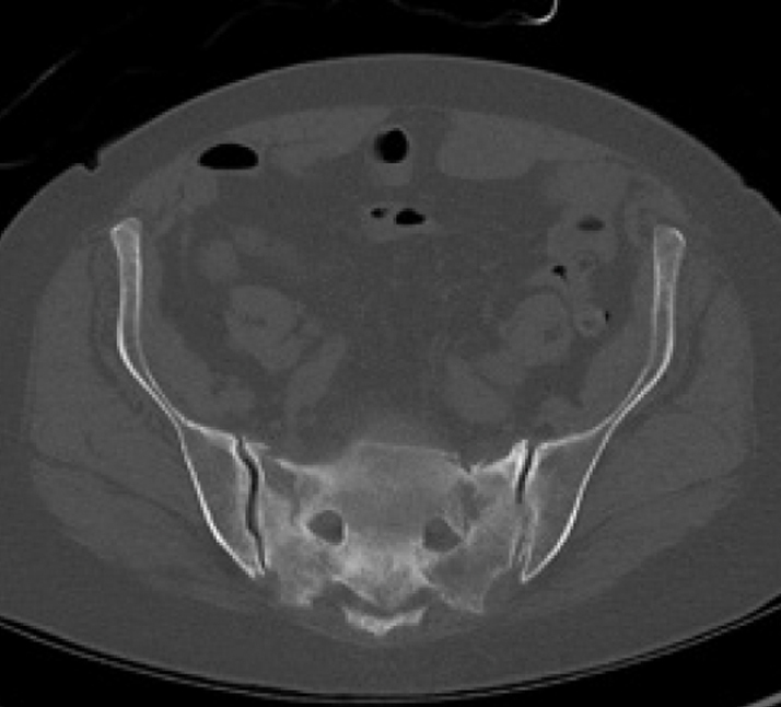
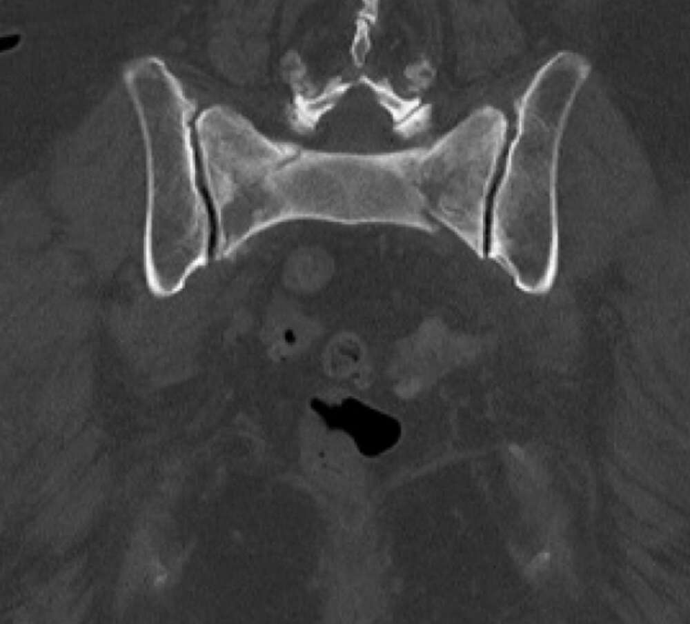
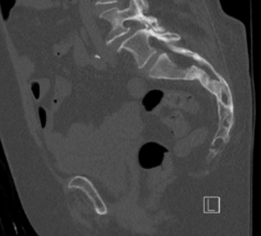
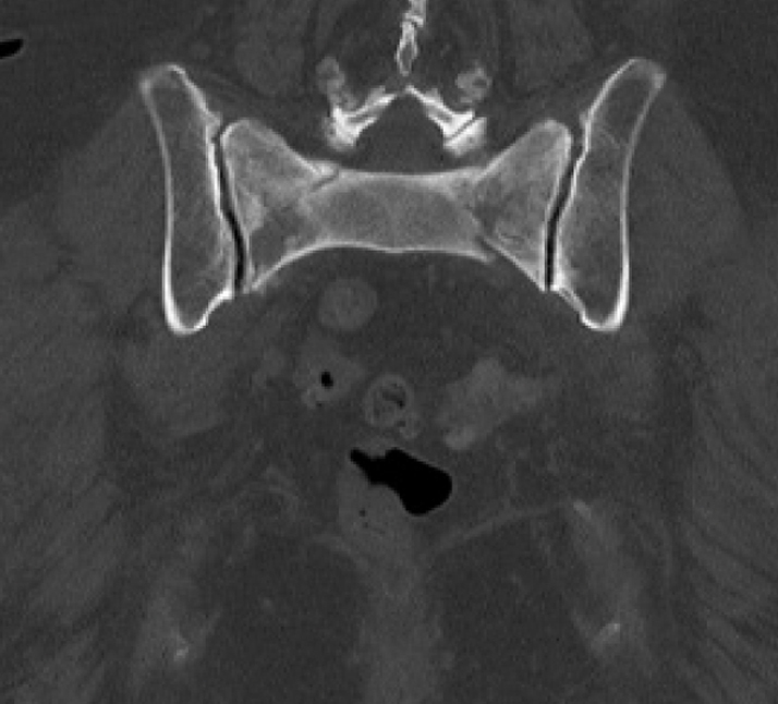
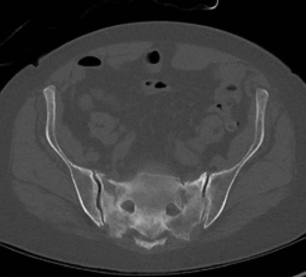
Diagnosis:
  • Chronic Sacral U-type fracture with kyphotic deformity
  • Anterior ring disruption
  • Osteopenia
Inline debaun 03 Inline debaun 03
Inline debaun 03 Inline debaun 03
Inline debaun 04 Inline debaun 04
Inline debaun 04 Inline debaun 04
Surgical treatment:
  • Bilateral sacral fracture fixation with iFuse TORQ®
Post-op:1,2
  • Tolerated procedure well
  • Immediate weight bearing as tolerated
  • Ambulated 150 feet POD 1 and discharged home
  • Pain improvement and healed fracture at 2 months
  • No progression of kyphotic deformity
Inline debaun 05 Inline debaun 05
Inline debaun 05 Inline debaun 05
Inline debaun 06 Inline debaun 06
Inline debaun 06 Inline debaun 06
Inline debaun 07 Inline debaun 07
Inline debaun 07 Inline debaun 07
Inline debaun 08 Inline debaun 08
Inline debaun 08 Inline debaun 08
Inline debaun 09 Inline debaun 09
Inline debaun 09 Inline debaun 09

1Patient results may vary
2Pain and disability improvement consistent with early SAFFRON trial (NCT05426356) outcomes. SI-BONE data on file.

Healthcare professionals should refer to the Instructions For Use for indications, contraindications, warnings, and precautions at https://ous.si-bone.com/label.

There are potential risks associated with iFuse procedures. They may not be appropriate for all patients and all patients may not benefit.
For information about the risks, visit https://ous.si-bone.com/risks.

4,900+Treating Physicians

140,000+iFuse Procedures Performed

185+iFuse Publications

Looking for Answers?

We can help. Tell us what you're looking for below.