Case Studies

Unstable Spinopelvic Dissociation

“Unique implants with specific indications.”

Reza Firoozabadi, MD, MA

Reza Firoozabadi, MD, MA

Provider
Reza Firoozabadi, MD, MA*
Speciality
Orthopaedic Trauma Surgeon. Harborview Medical Center and a UW Associate Professor of Orthopedics and Sports Medicine
Facility
Harborview Medical Center
Bio
Medical School: Boston University School of Medicine
Residency: University of California, San Francisco
Fellow... More

Case Details

Condition
Pelvic Trauma
Product(s)
iFuse TORQ
Patient
62 y/o male

Unstable spinopelvic dissociation with contraindication to lumbopelvic fixation1

Patient History:
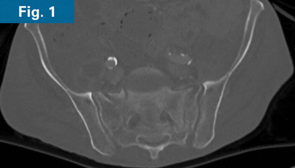
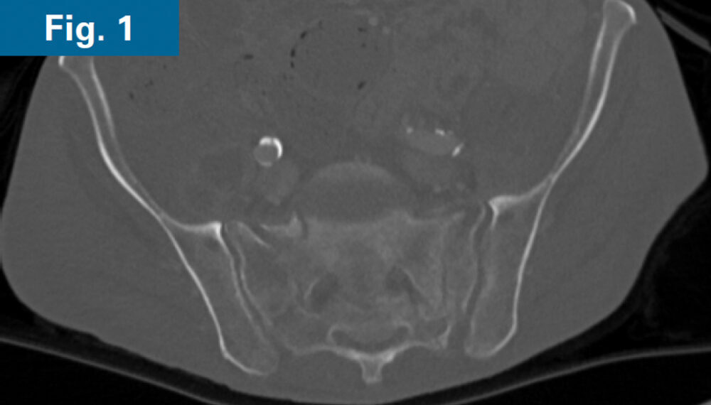
  • 62 y/o male with COPD and 1 month old sacral U-type fracture after motorcycle crash (Figs. 1 and 2)
  • Excruciating pain with any attempt at mobilizing
  • Transferred from outside hospital after developing multiple abscesses around the pelvis and lumbar spine
  • Lumbopelvic fixation was contraindicated due to the location of paraspinal abscesses
  • Comminution and displacement of the right side component of his sacral U-type fracture significantly decreased the osseous corridor for placement of trans-sacral style screw in S1 requiring an iFuse TORQ® implant to provide sufficient fixation
Inline firoozabadi case 2 01 Inline firoozabadi case 2 01
Inline firoozabadi case 2 01 Inline firoozabadi case 2 01
Inline firoozabadi case 2 02 Inline firoozabadi case 2 02
Inline firoozabadi case 2 02 Inline firoozabadi case 2 02
Intra-op:

His pelvic abscesses were debrided and washed (lateral window) and antibiotic beads were placed followed by percutaneous placement of bilateral ilio-sacral style S1 implants. Intraoperative CT scan was performed after placement of 3.2 mm guidewires to confirm safe path of placement for iFuse TORQ implants in the setting of poor visualization of the foramen (Fig. 3). Bilateral 13.5mm iFuse TORQ implants were placed and the patient was allowed weightbearing as tolerated for activities of daily living at his home (Fig. 4).

Firoozabadi - spinopelvic dissociation - 3 Firoozabadi - spinopelvic dissociation - 3
Firoozabadi - spinopelvic dissociation - 3 Firoozabadi - spinopelvic dissociation - 3
Firoozabadi - spinopelvic dissociation - 4 Firoozabadi - spinopelvic dissociation - 4
Firoozabadi - spinopelvic dissociation - 4 Firoozabadi - spinopelvic dissociation - 4
Surgical Treatment:
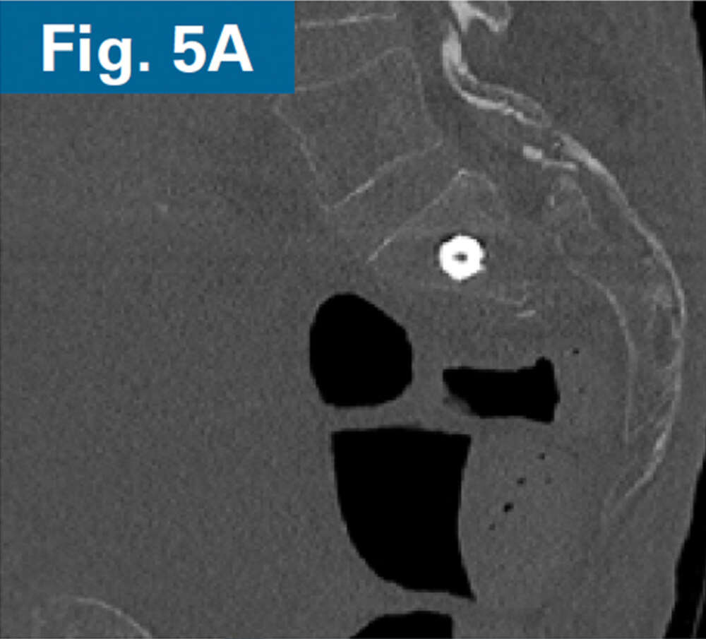
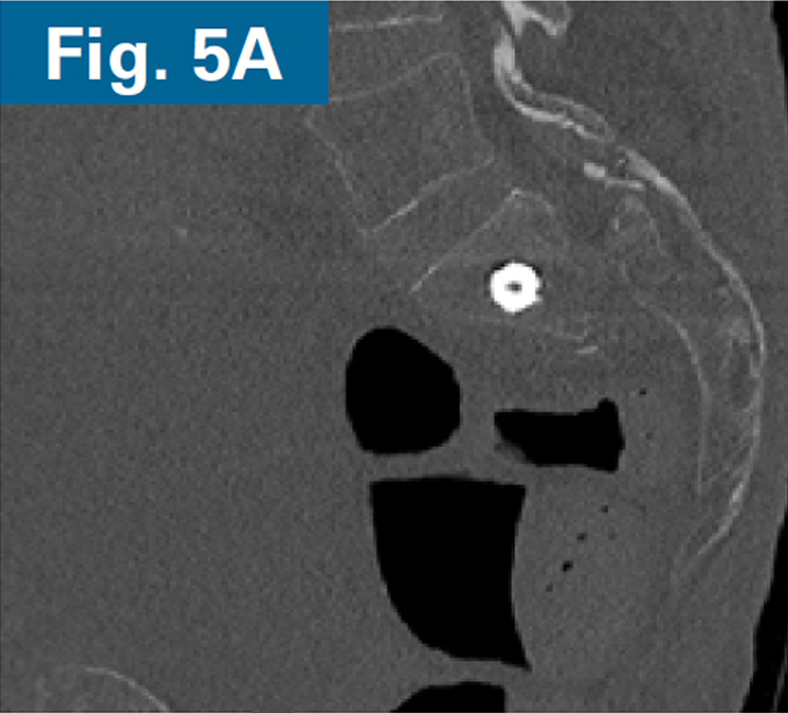
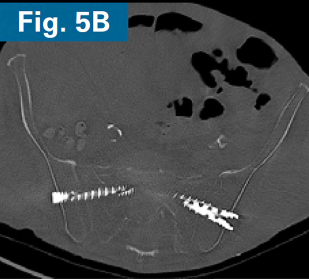
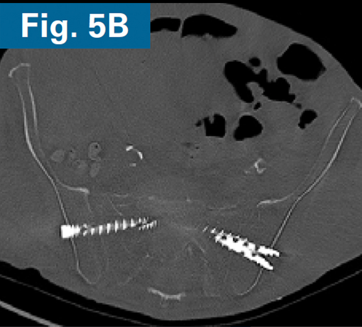
  • Immediate postoperative CT scan demonstrate safe placement of implants (Figs. 5A and 5B).
  • AP and standing lateral sacral view at 3 months follow-up.
  • Callous formation noted on the lateral radiograph (Figs. 6A and 6B).
  • Clinically, the patient is ambulating comfortably and is not requiring opioids.4
Inline firoozabadi case 2 05 Inline firoozabadi case 2 05
Inline firoozabadi case 2 05 Inline firoozabadi case 2 05
Inline firoozabadi case 2 06 Inline firoozabadi case 2 06
Inline firoozabadi case 2 06 Inline firoozabadi case 2 06
Inline firoozabadi case 2 07 Inline firoozabadi case 2 07
Inline firoozabadi case 2 07 Inline firoozabadi case 2 07
Inline firoozabadi case 2 08 Inline firoozabadi case 2 08
Inline firoozabadi case 2 08 Inline firoozabadi case 2 08

1,2Patient results may vary.
3SI-BONE Post Market Surveillance May 2023
4Pain and disability improvement consistent with early SAFFRON (NCT05426356) trial outcomes. SI-BONE data on file.

Healthcare professionals should refer to the Instructions For Use for indications, contraindications, warnings, and precautions at https://ous.si-bone.com/label.

There are potential risks associated with iFuse procedures. They may not be appropriate for all patients and all patients may not benefit.
For information about the risks, visit https://ous.si-bone.com/risks.

4,900+Treating Physicians

140,000+iFuse Procedures Performed

185+iFuse Publications

Looking for Answers?

We can help. Tell us what you're looking for below.