Case Studies
When Hip and SI Joint Pain Patterns Overlap
“Incorporating the SI joint in differential diagnosis provides a comprehensive workup and a whole new level of patient care.”
Christopher Boone, MD
- Provider
- Christopher Boone, MD*
- Speciality
- Orthopedic Surgery
- Facility
- Proliance - Orthopaedics & Sports Medicine
- Bio
-
Medical School: University of Washington School of Medicine, Seattle, WA
Residency: William Beaumont Hospital, Roy... More
Case Details
- Condition
- SI Joint Dysfunction
- Product(s)
-
iFuse 3D
- Patient
- 76 y/o male
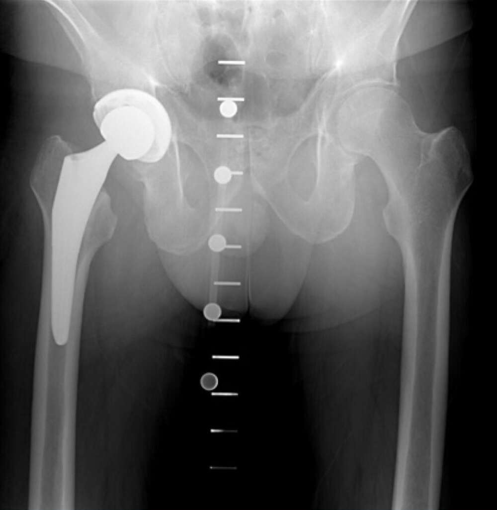
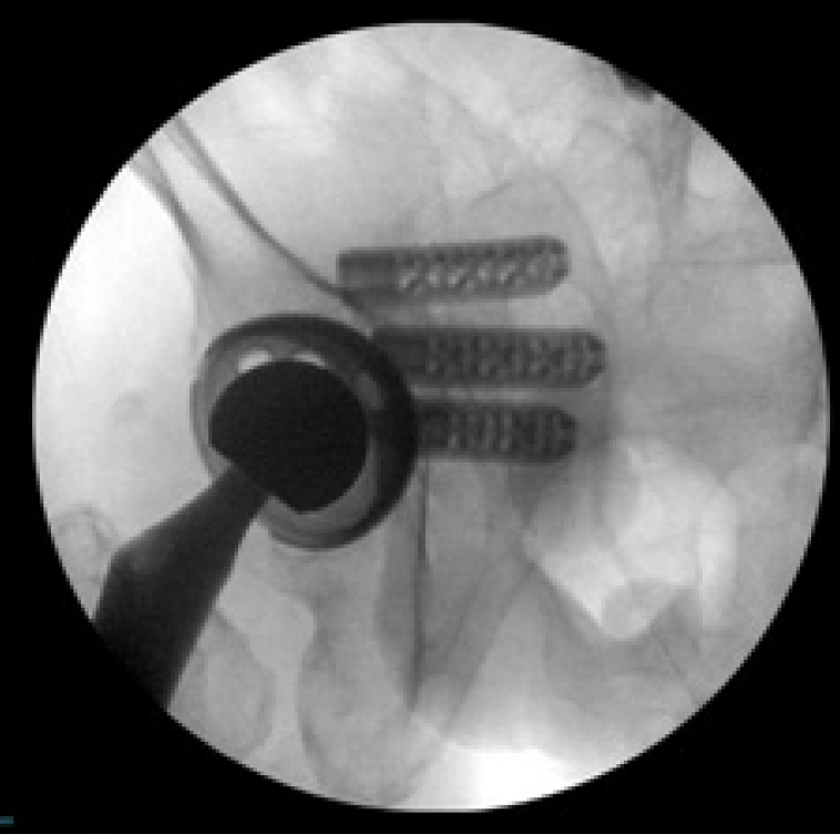
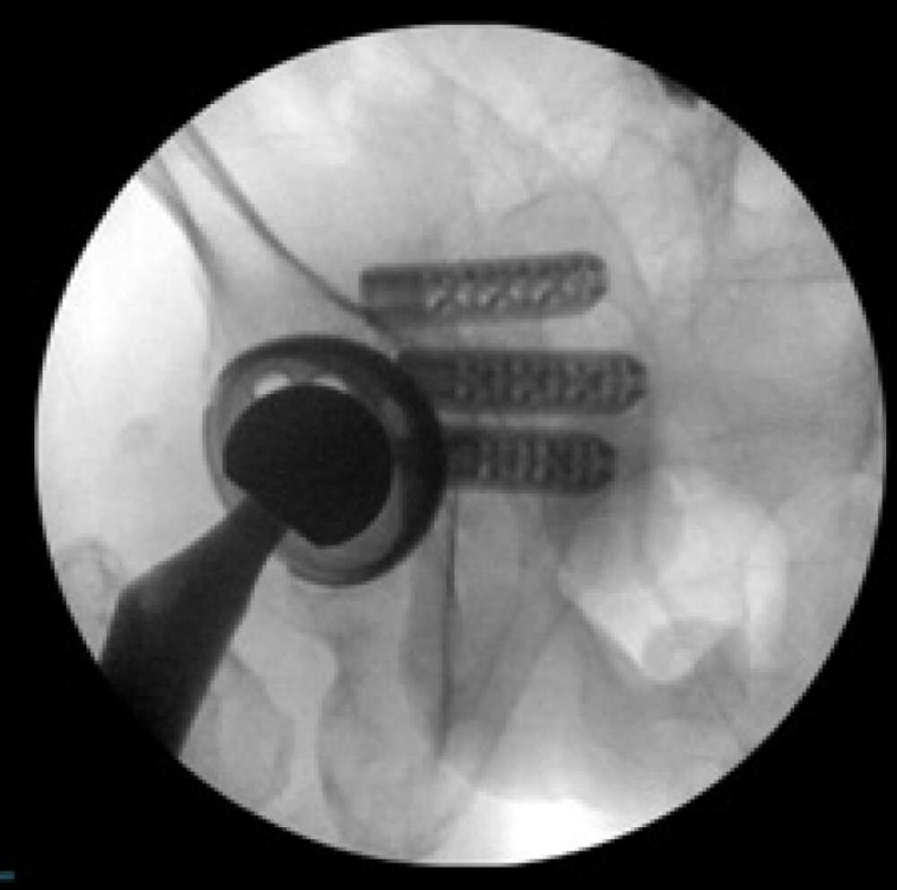
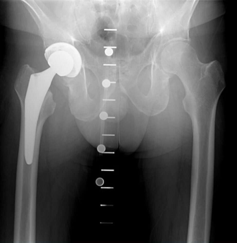
MIS SI joint fusion with iFuse 3D™ x 3
Patient History:
- Long history of lower back and posterior pelvic pain
- Diagnosed with degenerative arthritis of right hip and underwent right total hip replacement (THA) with good results
- Had lumbar fusion due to low back pain with good relief of low back symptoms post op
- Later developed recurrent lower back pain coming from off midline radiating into the groin
Diagnostic Workup:
- Evaluation of the right THA showed no signs of loosening or infection
- Evaluation of lumbar spine showed no signs of neural tension on physical exam, no neural compression, and no spinal instability
- Further evaluation determined pain was coming from the SI joint
- Later developed recurrent lower back pain coming from off midline radiating into the groin
Non-surgical treatment:
- Pain medications
- SIJ focused physical therapy with no significant improvement of pain or function
- SIJ steroid injection – temporary pain relief (2 weeks)
Surgical Treatment:
- MIS SI joint fusion with iFuse 3D™ x 3
Post-op:1
- Marked symptom improvement at 6-month follow-up
- No activity restrictions
- Follow-up as needed
1Patient results may vary.
Healthcare professionals should refer to the Instructions For Use for indications, contraindications, warnings, and precautions at https://ous.si-bone.com/label.
There are potential risks associated with iFuse procedures. They may not be appropriate for all patients and all patients may not benefit.
For information about the risks, visit https://ous.si-bone.com/risks.
Boone image 1
Boone image 2
Boone image 3
Boone image 4
Boone image 5