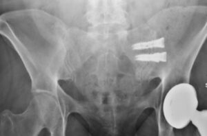
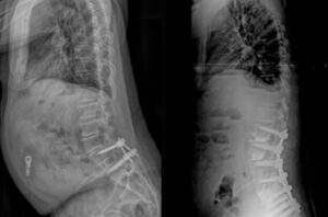
Case Studies

iFuse Bedrock Granite not available outside the US

4,900+Treating Physicians

140,000+iFuse Procedures Performed

185+iFuse Publications

Looking for Answers?

We can help. Tell us what you're looking for below.